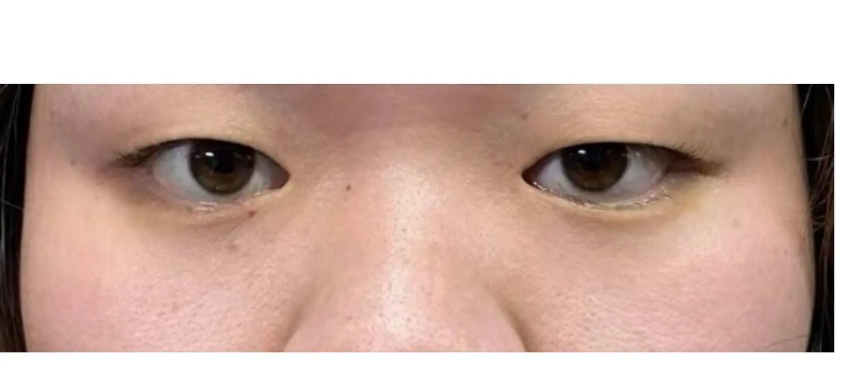
露下眼白的相学解析
露下眼白,在相学中被称为“三白眼”,是一种较为常见的相貌特征。根据位置的不同,三白眼分为三种类型:
上三白眼:上眼睑与下眼睑均露白。这种面相的人通常比较骄傲自负,做事容易冲动鲁莽,人际关系往往不佳。
下三白眼:下眼睑露白。这种面相的人性格多疑敏感,心思细腻,但容易斤斤计较,容易招惹小人是非。
四白眼:上下眼睑均露白,且眼珠呈圆形。这种面相的人聪明伶俐,善于交际,但处事圆滑,缺乏原则性。
露下眼白的性格特点
一般来说,露下眼白的人性格上具有以下特质:
谨慎多疑:露下眼白的人往往疑心较重,凡事喜欢刨根问底,对陌生人或新事物缺乏信任感。
敏感自卑:他们内心敏感脆弱,容易受到外界环境的影响,经常会感到自卑和不安。
控制欲强:露下眼白的人具有较强的控制欲,喜欢主导他人,做事雷厉风行,不达目的不罢休。
缺乏安全感:他们缺乏安全感,总是担心失去身边的人或事物,因此容易出现焦虑和紧张的情绪。
露下眼白的运势影响

眼白长黑痣的男人面相
在相学中,露下眼白也被认为会影响一个人的运势:
财运:露下眼白的人财运相对较差,容易遭遇钱财损失或破财,需注意理财方式。
婚姻:他们婚姻运势较为坎坷,容易与伴侣争吵或分离,需多加沟通和理解。
事业:露下眼白的人在事业上容易遇到阻碍,工作中常有小人作祟,难以升职加薪。
健康:他们身体健康欠佳,容易患有心血管疾病、肠胃疾病等,需注意饮食和作息。
改善露下眼白面相的方法
露下眼白面相并非一成不变,通过以下方法可以改善:
培养自信心:建立自信心是改善露下眼白面相的关键,多参加社交活动,提高自己的能力和价值。
控制疑心病:学会信任他人,不要过于疑神疑鬼,用积极的心态看待事物。
增强安全感:找到自己的价值和归属感,建立稳固的人际关系,让自己拥有更多安全感。
提高沟通能力:多与人沟通交流,表达自己的想法,避免闷在心里。
相学仅供参考,并非确。每个人都有自己的性格特点和命运,切不可迷信于面相,而应该积极改变自己,创造美好的未来。